INFORMACIÓN BÁSICA SOBRE PROTECCIÓN DE DATOS PERSONALES 

Responsable: Clínica Jaime I de Catarroja SL

Finalidad: Tratamiento de los datos exclusivamente para lo solicitado en la consulta, así como para enviarle, información comercial de nuestros productos y servicios.

Legitimación: su propio consentimiento, el interés legítimo.

Destinatario: no cederemos sus datos a terceros, salvo obligación legal.

Derechos: puede ejercitar los derechos de acceso, rectificación o supresión de datos, así como disponer de otros derechos en dpd@unidadsanitaria.com

Así mismo, le informamos que si no desea recibir información comercial de nuestros productos y servicios nos lo comunique en el cuerpo del mensaje (en el formulario anterior) o nos escriba a la dirección electrónica señalada en el párrafo anterior.

Información adicional: www.clinicajaimeicatarroja.com

Delegado de Protección de Datos: Grupo Reinventalia, S.L.

Contacto DPD.: dpd@unidadsanitaria.com

Radiografía

Radiografía en Valencia

Radiografías en Valencia

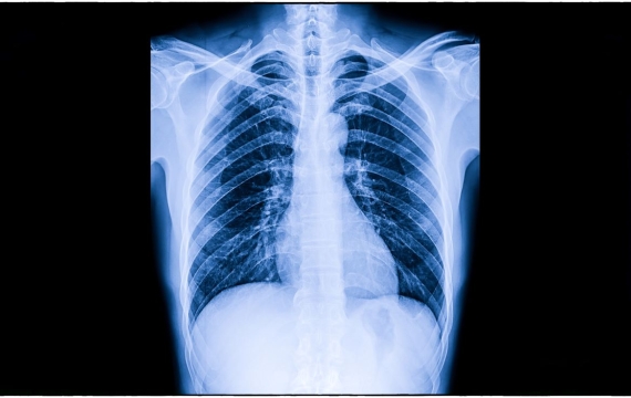
Una radiografía es una prueba radiológica que permite obtener imágenes de los huesos, órganos y tejidos del cuerpo, mediante el uso de rayos X. Las partes más densas aparecen en los resultados en diferentes tonos en una escala de grises.

Image
radiografía en Valencia

¿Qué diferencia hay entre una radiografía y una ecografía?

A diferencia de las radiografías, la ecografía no utiliza radiación. La ecografía también puede mostrar partes del cuerpo en movimiento, por ejemplo, el corazón latiendo y la sangre fluyendo por los vasos sanguíneos.

Image
radiografía en Valencia

¿Cuando el médico indica una radiografía?

Se utiliza comúnmente para diagnosticar huesos fracturados o dislocación de articulaciones. Las radiografías de huesos son la forma más rápida y fácil para su médico de ver y evaluar fracturas de hueso, lesiones, y anormalidades en las articulaciones. 

Image
radiografía en Valencia

Este examen requiere de poco o nada de preparación especial.

Image
radiografía en Valencia

¿Cómo eliminar la radiación de tu cuerpo?

Dúchese con agua tibia y lávese el cuerpo suavemente con mucho jabón. No se escalde, refriegue ni rasque la piel. La piel ayuda a proteger la parte interna del cuerpo del material radiactivo.

Image
radiografía en Valencia

¿Cuántas radiografías se puede hacer una persona?

Es tarea del profesional de la medicina evaluar la justificación de realizar una radiografía o no. Así, no hay un límite de radiografías o de dosis de radiación al año.

Image
radiografía en Valencia

¿Cuanto cuesta una radiografía?

ESTUDIOPRECIO
RADIOGRAFÍA
Image
radiografía en Valencia
Médicos especialistas
Image
IVACE

Este proyecto de inversión ha sido cofinanciado por el IVACE en el marco del Plan ARA EMPRESES 2025.